03 72 13 93 53

Docteur Brice Benhammou
Orthodontiste
A Montigny Les Metz

Bienvenue au cabinet

Le Docteur Brice BENHAMMOU, orthodontiste spécialiste, vous reçoit au sein de son cabinet situé au centre ville de Montigny lès Metz, à 100m de la mairie de Montigny, à côté de la poste.

Le cabinet accueille les enfants ainsi que les adultes du lundi au samedi. Nous employons les dernières technologies pour la mise en place du traitement et son contrôle. Des solutions de traitements invisibles, rapides et confortables vous seront proposées après le diagnostic : technique linguale, gouttières invisalign...

Prenez rendez-vous en ligne

Les traitements Proposés

Invisalign

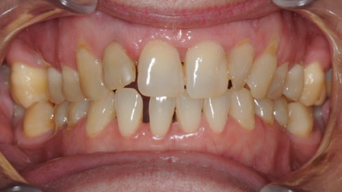
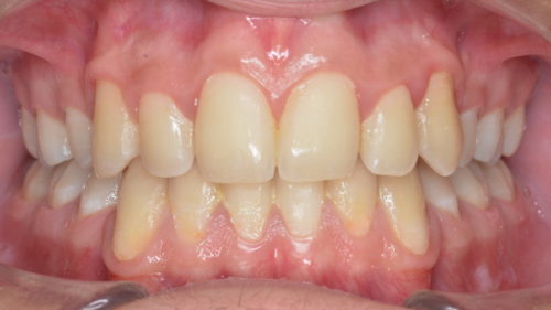
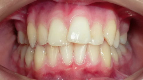
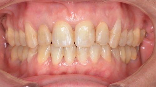
Invisalign est une technique d’orthodontie permettant d’aligner les dents grâce à l’emploi successif de gouttières amovibles translucides personnalisées. C’est une méthode qui se veut invisible et très confortable, car elle n’utilise pas de bagues, de fils, ou de brackets.

Traitement Précoce

Un dépistage précoce vers 6-7 ans est souhaitable.

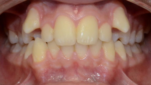
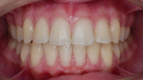
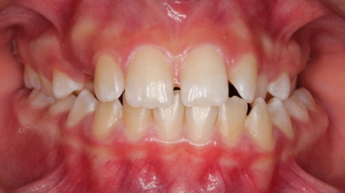
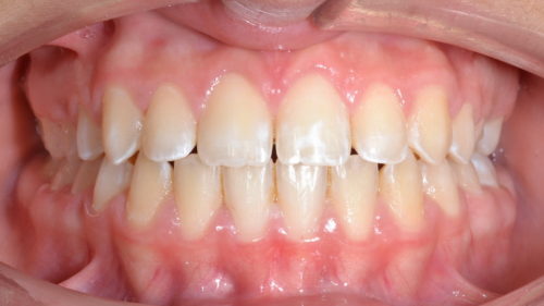
Pour certaines malocclusions importantes comme par exemple un problème de respiration orale avec une mâchoire supérieure étroite, ou mâchoire inférieure décalée en avant, il est nécessaire de débuter un traitement le plus rapidement possible, à partir de 5 ans :

Un court traitement (moins d’un an) sera engagé de manière à éviter de se retrouver dans des situations longues et difficiles à gérer au moment du traitement global (entre 11 et 14 ans).

Orthodontie Linguale

L’orthodontie linguale tire son nom du positionnement des attaches orthodontiques sur la face interne des dents, c’est-à-dire du côté de la langue. Il s’agit d’une technique de traitement qui utilise les mêmes principes que les techniques classiques où les attaches sont positionnées sur la face externe des dents (vestibulaires).

C’est un traitement invisible.

Traitement vestibulaire

Nous utilisons uniquement des attaches très haut de gamme, confortables, discrètes et fiables. La technique vestibulaire permet d’obtenir les meilleures finitions pour un sourire parfait chez les enfants et les adultes.

Votre Orthodontiste

Brice Benhammou

Brice Benhammou

Le Docteur Brice Benhammou est orthodontiste spécialiste qualifié, diplômé de l'Université Paris Diderot.

Il exerce l'orthodontie en cabinet privé depuis 6 ans et se forme continuellement aux dernières techniques afin de vous proposer un traitement personnalisé de qualité.

Fermer

Brice Benhammou

Orthodontiste
Défiler vers le haut